Archives

Tetanus

Tetanus is still a significant health hazard in developing countries, with high associated mortality. It is cause by Clostridium Tetani. This anaerobic bacillus...

Polytrauma: Can be anything

Splenic trauma usually presents acutely with a distinct mechanism of injury. But in settings of polytrauma with other major injuries, it can be missed or the oc...

Delay in diagnosis and treatment in lung cancer patients

82.7% (out of 1020 patients) were male, 57% wereilliterate, and 78% were of lower socio-economic status, with 78.3% having history of smoking, while among non-s...

Acute Kidney Injury Induced by Rhabdomyolysis

The reported incidence of acute kidney injury after rhabdomyolysis is as high as 65%1 which occurs as a result of multiple mechanisms including tubular obstruct...

Implementation of Nutritional Guidelines for Critical Care Patients in Developing Countries

It is very important for us to updates our knowledge and to know new nutritional guidelines. But is it sufficient..? Because the implementation of the updated n...

Care Companion Program (CCP): A tool for Quality improvement of nursing services.

In the current healthcare delivery system, one of the most important roles of nurses is to educate the patient & their family members/caregivers. Today, nurses ...

A Case of Adult-Onset Bartter’s Syndrome

Bartter’s Syndrome is characterized by renal potassium wasting with hypokalemia, metabolic alkalosis, increased renin-angiotensin-aldosterone system, normal blo...

An Unusual Case Of Leptospirosis: A Case Report

Leptospirosis is a widespread and prevalent zoonotic disease. It occurs in both temperate and tropical regions; the incidence in the tropics is approximately 10...

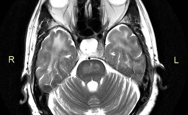
Extra Pontine Myelinolysis: a case report

The first case of extra pontine myelinolysis was described in 1987 and before that the concept of central pontine myelinolysis was being widely used. When extra...